整形咨询
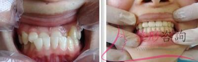
地包天矫正手术注意事项是什么?
来源:明星美网
时间:2021-02-24 09:15:18
类型:原创
人气:
一、地包天矫正手术方法是什么

现在做地包天矫正一般使用的手术方法如下:
手术方法:反颌矫正术
治疗次数:只做一次
麻醉方法:局部麻醉
手术时长:120分钟
手术材料:常用的手术设备
手术设备:软骨钳、针线、尺子。
二、地包天矫正注意事项是什么
做地包天矫正手术的注意事项包括术前注意事项和术后注意事项。
地包天矫正手术的术前注意事项如下:
1、手术前两周内,请勿服用含有阿司匹林类药物。
2、术前应确定身体健康情况,无传染性疾病或其他身体炎症。
3、术前不应化妆。
地包天矫正手术的术后注意事项如下:
1、术后可以咀嚼,但三个月内不能作啃、撕咬等动作。
2、保持手术部位的清洁卫生,术后7天内应尽量避免术区沾水。
3、避免进食刺激性食物,如辣椒等。
4、严格遵守医生嘱咐药物及复诊。
最后要注意的是,手术可能还会有一定的风险。
1、感染:任何手术均有感染的可能,尤其是在口内切开的术式,进食等原因均会增加感染的可能,术后应遵医嘱服用抗生素5-7日。
2、上下颌骨骨折:在用截骨器敲打骨凿截除较硬的骨组织时,用力过猛很有可能造成骨折。
3、出血及术后血肿:截骨时出血较多,易形成淤血。
4、神经损伤:在逐层剥离的过程中有可能造成神经的损伤。
5、双侧不对称:在截除骨组织时,有可能造成双侧骨的不对称去除。
6、效果不理想:术中有可能截除的骨组织过多,造成其他类型的畸形,也有可能截除过少没有达到理想的效果。
7、同时,上颌骨前移后,面中份凹陷也得到明显改善。个别受术者在反颌畸形矫正后,如果出现鼻部较低的情况,可通过隆鼻手术进一步增加面中份的立体感。
三、地包天矫正手术类型是什么
从麻醉方式来看,地包天矫正属于局部麻醉类型。
从治疗方式来看,地包天矫正的手术类型属于反颌矫正术。
为您推荐:
猜您喜欢:
- 乳房总是被吃会对身体有危害吗_微
- 山东十大口腔医院排行榜,让你轻松找
- 广州三甲医院皮肤科排名|点阵激光
- 北京市打耳洞修复医院哪家口碑好-
- 深圳皮肤科医院哪家强,深圳皮肤科
- 北京口腔医院哪个院区好,北京口腔
- 2023江苏眼科医院排名榜前十名!盐城
- 中山牙科收费价目表曝光,价目表揭
- 做电动负压吸脂瘦大腿需要多长时间
- 女生们做埋线双眼皮手术医治的价格
- 国产普诺明人工晶体怎么样?是治疗白
- 候黎莉上海九院*好的专家是谁(第九
- 2023年喀什地区英吉沙县皮秒镭射激
- 蚌埠激光美白整形一般需要价格多少
- 2023昆明激光祛斑正规医院排名丨艺
- 颧骨有斜纹是什么面相_颧骨一边高
- 郑州哪个医院看眼科比较好,郑州眼
- 临沂泉美整形医院怎么样-概况-资质
- 瓜子脸整形不适用人群有哪些?
- 刘海挡住眉毛运势会不好吗_眉毛颜
- 抽脂手术对比图 信心秀出自身的A4
- 2023国内眼科医院排名公布丨上海市
- 做瓜子脸整形价格
- 2023全国眼科十大排名医院丨上海九
- 四川皮肤科好的医院排名,四川皮肤
- 隆鼻后修复全过程图 假体隆鼻比照
- 讲讲去鹏爱医疗美容医院做M22光子
- 没有下巴的人面相分析_没有下巴的
- 做洗眉费用
- 做处女膜修复怎么样?好吗?
- 美肤专家:曹珂医生简介 激光祛斑案
- 做洗眉效果如何
- 爱贝芙去除法令纹效果真的好吗
- 激光祛痘为何非常好
- 脸眶沟填充术都是按照什么什么顺序
- 牙齿美容护肤统一推销技巧
- 柳州市儿童牙齿正畸价格(价目)2023
- 福州私立医院排名前十,哪家才是你的
- 肿眼泡是什么?怎样治疗肿眼泡?
- 西安看牙科去哪个医院?排名靠前这五
- 呼和浩特京美整形的刘野医生资料简
- 玻尿酸隆鼻的危害 有木有呢?
- 做乳头内陷矫正价格要多少
- 人中窝加深内切好还是外切效果好(
- 北京大学第三医院(北医三院)眼科怎
- 7900在北京做的硅胶隆鼻怎么样?整体
- 做溶脂瘦肚子的流程是什么?恢复时间
- 深圳光子嫩肤好的三甲医院排名,深
- 免动手术的隆鼻方法——玻尿酸隆鼻
- 做绣眉需要多长时间?全过程解析
- 做溶脂瘦手臂大概需要多少钱?
- 做下颌角截骨治疗效果怎么样?效果保
- 上下颚手术手术术后护理?
- 眉位不正修复手术安全吗?
- 激光祛咖啡斑术必须条件都有几种?
- 做玻尿酸丰苹果肌怎么样?好吗?
- 盘点郑州隆胸好的医院:这几家医院口
- 我在汕头曙光整形医院做了双眼皮,来
- 警惕!消毒杀菌安全隐患大 美容美发
- 进口的膨体隆鼻费用多少钱
- 做水动力吸脂瘦腰需要多少钱?费用是
- 怎样去除长期黑眼圈?黑眼圈怎么去
- 歪鼻矫正医疗费用?歪鼻矫正价格
- 注入溶脂瘦脸针多长会看到效果
- 华西医院整形科哪个医生好?这篇教你
- 去淮北天香医疗美容诊所做双眼皮怎
- 做吸脂瘦腰的流程是什么?恢复时间要
- 做双环法矫正乳房下垂的流程是什么
- 广州荔湾区人民医院整形美容中心口
- 做真皮固定矫正乳房下垂怎么样?好吗
- 喻深意医生的个人资料简介,还有口碑
- 全新上海九院整形价格表!想变美的你